
Die Radiofrequenz hat ihren Platz als Präzisionswerkzeug in der HNO-, Neuro- und Mikrochirurgie gefunden. Zahlreiche Studien1-7 belegen die Vorteile der 4 MHz Radiofrequenz-Technologie im Vergleich zu anderen Technologien. Mit dem impedanzgesteuerten CURIS® 4 MHz Radiofrequenz-Generator bietet Sutter die Vorteile einer fortschrittlichen 4 MHz Radiofrequenz-Technologie für eine Vielzahl von Anwendungen.
Mit der 4 MHz Radiofrequenz-Technologie wird die Energie gleichmäßig in den Zellen absorbiert. Hierdurch wird vermieden, dass sich die äußere Schicht der Zellmembran erwärmt, wie es bei der konventionellen Hochfrequenz-Technologie der Fall ist8. Dieser gleichmäßige Energiefluss innerhalb der Zellen macht den CURIS® 4 MHz Radiofrequenz-Generator zu einem optimalen Werkzeug in der Präzisionselektrochirurgie – sowohl für das Schneiden als auch für die Koagulation.

Das elektromagnetische Feld konzentriert sich zwischen den Zellen und wirkt auf sie von außen. (Illustration)
Abb. 1a

Mit dem CURIS® 4 MHz Radiofrequenz-Generator werden die Zellmembranen überbrückt und der Energieeintrag erfolgt homogen im Zellinneren. Die Folge ist eine hochfokussierte Wirkung auf das Gewebe. (Illustration)
Abb. 1b

„Der CURIS® 4 MHz Radiofrequenz-Generator bietet eine einzigartige Präzision für Neurochirurgen, die eine optimale Kontrolle in ihren Eingriffen benötigen. Mit dem CURIS® kann ich punktgenau und mit minimaler thermischer und elektrischer Streuung koagulieren, was die Sicherheit und Wirksamkeit meiner Operationen verbessert.“
Ali Zomorodi, MD, Durham, NC (USA)
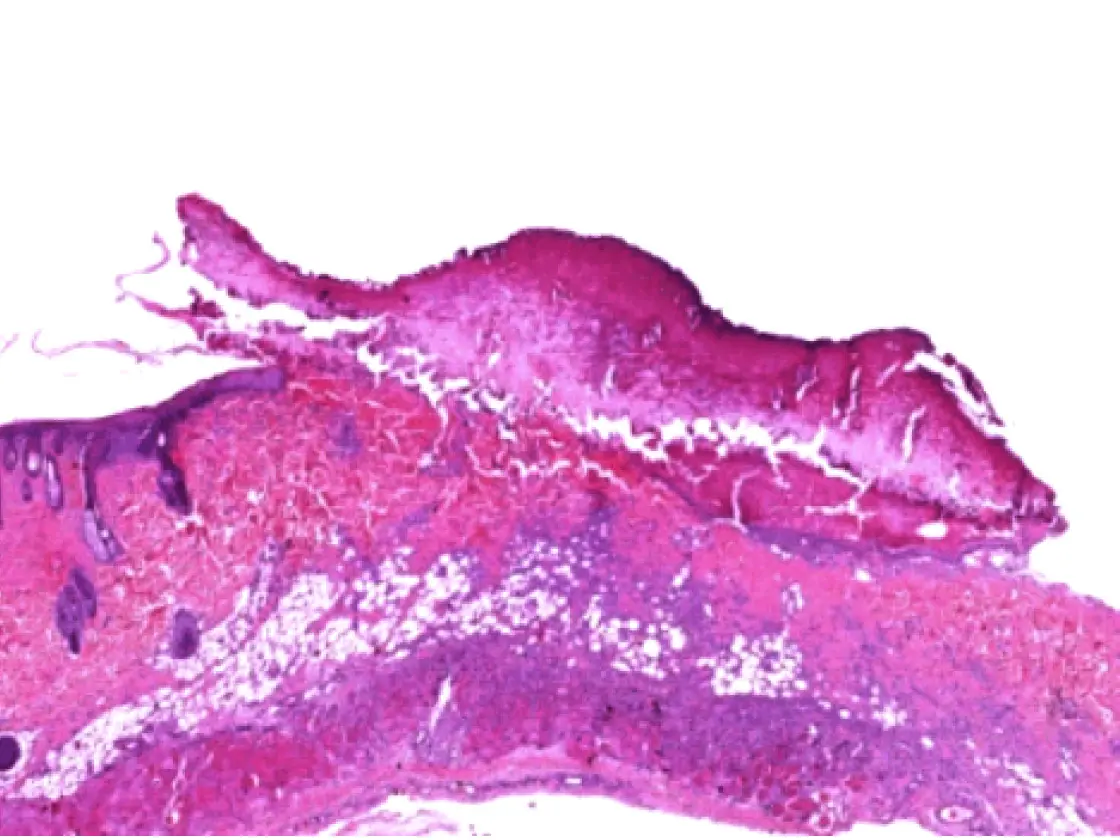
Die Vorteile der 4 MHz Radiofrequenz-Technologie zeigen sich auch in einer verbesserten Wundheilung. Dies konnte in einer Studie mit Albino-Ratten gezeigt werden, in der der Wundheilungsprozess nach Einsatz unterschiedlicher Technologien miteinander verglichen wurde. Der Einsatz des impedanzgesteuerten CURIS® 4 MHz Radiofrequenz-Generator erwies sich im Vergleich zur konventionellen Hochfrequenzgenerators als zielgerichteter und präziser. Sowohl die Basalmembran als auch die tiefen Schichten des Epithels blieben erhalten, wodurch weniger tiefe Wunden entstanden.6 Die histologische Bewertung zeigte auch, dass die Wunden bei der Verwendung des CURIS® 4 MHz Radiofrequenz-Generators schneller heilten als beim Einsatz herkömmlicher Hochfrequenztechnologie. Die durch Radiofrequenz erzeugten Wunden zeigten nach 7 Tagen eine vollständige Epithelisierung. Im Gegensatz dazu waren die durch Hochfrequenz erzeugten Wunden stark entzündet und wiesen fokale Eiterungen auf (s. Abb. 2).

Histologische Aspekte am siebten Tag: Vergleich der Radiofrequenz mit konventioneller Hochfrequenz
Abb. 2

Eine Studie an 25 Patienten mit Tumoren im Mund oder Rachenraum zeigte, dass die mit dem CURIS® 4 MHz Radiofrequenz-Generator resezierten Proben besser beurteilbar waren als jene, die mittels Laser reseziert wurden. Die impedanzgesteuerte 4 MHz Radiofrequenz-Technologie erzeugte überwiegend glatte Resektionsränder und reduzierte den Gewebewiderstand. Im Vergleich zur CO2-Laser- und Hochfrequenz-Technologie verursachte die 4 MHz Radiofrequenz-Technologie die kleinsten Läsionen und Koagulationszonen.5
Weitere Studien kommen zu der Schlussfolgerung, dass die impedanzgesteuerte 4 MHz Radiofrequenz-Technologie weniger thermische Lateralschäden als andere Technologien produziert:
Der CURIS® 4 MHz Radiofrequenz-Generator zeigte im Vergleich zur CO2-Laser-, YAG-Laser- und Hochfrequenz-Technologie die beste Schnittbreite (siehe Abb. 2), die kleinsten Koagulationsdefekte und die geringsten Läsionen bei allen Energieintensitäten. Außerdem erzeugte er die kleinste Koagulationszone in verschiedenen Gewerbearten bei unterschiedlicher Energiezufuhr im Vergleich zu den anderen Technologien (siehe Abb. 3a & 3b). Diese Eigenschaft sorgt für eine optimale Erhaltung der am Tumor anliegenden Gewebestrukturen und ermöglicht eine verbesserte pathologische Beurteilung.4

Vergleich der durchschnittlichen Schnittbreite in allen Gewebearten bei unterschiedlichen Leistungseinstellungen
Abb. 3
* Leistungseinstellung

Vergleich der Koagulationszone im Zungengrund bei unterschiedlichen Leistungseinstellungen
Abb. 3a

Vergleich der Koagulationszone im Muskelgewebe bei unterschiedlichen Leistungseinstellungen
Abb. 3b
Die Präzision und die Qualität der Koagulationsergebnisse zeigt sich in den Auswirkungen auf das Gewebe. In einer Studie, in der die bipolare Koagulation an Eigelb verglichen wurde, erzielte der impedanzgesteuerte CURIS® 4 MHz Radiofrequenz-Generator schonendere Effekte und reproduzierbarere Ergebnisse als der konventionelle Hochfrequenzgenerator. Mit beiden Generatoren wurden 100 Koagulate bei jeweils 1, 2 und 3 Sekunden Aktivierungszeit produziert und dann von drei verblindeten Untersuchern auf einer visuellen Analog-Skala hinsichtlich folgender drei Kriterien bewertet: Kantenschärfe, Homogenität und Form der Koagulation (siehe Abb. 4 & 5).9

Ein Beispiel für ein mangelhaftes Ergebnis in Bezug auf Kantenschärfe, Homogenität und Form der Koagulation
Abb. 4

Ein Beispiel für ein gutes Ergebnis in Bezug auf Kantenschärfe, Homogenität und Form der Koagulation
Abb. 5
Die Auswertungen zeigten einen deutlichen Unterschied zwischen den beiden Generatoren. Insgesamt lieferte der impedanzgesteuerte CURIS® 4 MHz Radiofrequenz-Generator bessere Ergebnisse in Bezug auf die Kantenschärfe, Homogenität und Form der Koagulate im Vergleich zur konventionellen Hochfrequenz-Technologie. Die durch den CURIS® 4 MHz Radiofrequenz-Generator erzeugten Koagulate erzielten ausgezeichnete Bewertungen, während die durch Hochfrequenz erzeugten Koagulate weniger positiv bewertet wurden (siehe Abb. 6-8). Da alle drei Kriterien unter Verwendung der 4 MHz Radiofrequenz-Technologie bessere Ergebnisse erzielten, kann der Schluss gezogen werden, dass der impedanzgesteuerte CURIS® 4 MHz Radiofrequenz-Generator zu schonenderen Gewebeeffekten führt.9

Kantenschärfe der Koagulate bei 2 Sekunden Aktivierungszeit
Abb. 6
X: Bewertung auf einer visuellen Analog-Skala von 0 (“sehr schlecht”) bis 10 (“ausgezeichnet”)
Y: Anzahl der Bewertungen

Homogenität der Koagulate bei 2 Sekunden Aktivierungszeit
Abb. 7

Form der Koagulate bei 2 Sekunden Aktivierungszeit
Abb. 8

„Radiofrequenz ist für die Dissektion im Vergleich zu anderen Technologien deutlich geeigneter. Sie erzeugt eine bessere Hämostase und bessere Schnitte, ist nutzerfreundlicher und im Vergleich zur Lasertechnologie die kostengünstigere Methode.“
Prof. Dr. med. Clemens Heiser, Klinikum rechts der Isar, Technische Universität München (Deutschland)

Ob präzises Schneiden oder zuverlässige Koagulation – unsere Generatoren mit 4 MHz-Radiofrequenztechnologie bieten Ihnen maximale Kontrolle bei minimaler thermischer Belastung.
1 Bran, G M et al. Bipolar Radiofrequency Volumetric Tissue Reduction of Inferior Turbinates: Evaluation of Short-Term Efficacy in a Prospective, Randomized, Single-Blinded, Placebo-
Controlled Crossover Trial. Eur Arch Otorhinolaryngol, 2012.
2 Neumann, K et al. Behandlung der kindlichen symptomatischen Tonsillenhyperplasie - Radiofrequenztonsillotomie als Mittel der
Wahl. HNO-Abstractband, Dt HNO-Kongress München, 2009, p. 186.
3 Pang, K P Siow, J K. Sutter Bipolar Radiofrequency Volumetric Tissue Reduction of Palate for Snoring and Mild Obstructive
Sleep Apnoea: Is One Treatment Adequate? J Laryngology and Otology, V 123, 2009, p. 750-754.
4 Hoffmann TK et al. Comparative analysis of resection tools suited for transoral robot-assisted
surgery. Eur Arch Otorhinolaryngol 2014; 271:1207-13.
5 Hofauer B et al. Radiofrequency in Oral and oropharyngeal tumor surgery. Auris Nasur Larynx, 2020; 47(1):148 - 153.
6 Muehlfay G et al. A study of the type of lesions achieved by three electrosurgical methods and their way of healing. Rom J Morphol Embryol, 2015.
7 Vogt K et al. Comparison of the thermal effects of Coblation and Radiofrequency waves in a porcine turbinate model. Romanian Journal of Rhinology, 2018.
8 Holder, D S “Brief introduction to Bioimpedance” in: Electrical Impedance Tomography–Methods, History and Applications. IOP Publishing Ltd 2005.
9 Sutter Medizintechnik, data on file, 2019.
10 Sutter Medizintechnik, data on file, 2020.
11 Basterra J et al. Transoral Resection of Supraglottic Tumors Using Microelectrodes (54 Cases) EUR Arch Otorhinolaryngol, 2014; 271 (9): 2497-502.
Cookie Freigabe
Diese Website verwendet notwendige Cookies zur Sicherstellung des Betriebs der Website. Eine Analyse des Nutzerverhaltens durch Dritte findet nicht statt. Detaillierte Informationen über den Einsatz von Cookies finden Sie in unserer Datenschutzerklärung.
Individuelle Cookie Einstellungen
Datenschutzeinstellungen
Hier finden Sie eine Übersicht über alle verwendeten Cookies. Sie können Ihre Zustimmung zu ganzen Kategorien geben oder sich weitere Informationen anzeigen lassen und so nur bestimmte Cookies auswählen.
Notwendige Cookies
Diese Cookies ermöglichen grundlegende Funktionen und sind für die einwandfreie Funktion der Website erforderlich.
Cookie Informationen anzeigen
Cookie Informationen verbergen
Famigo Standort-Infografik
Einbindung eines Frames, auf unseren Stellenausschreibungsseiten mit Infos zum Standort.
| Anbieter: | FAMIGO GmbH |
| Datenschutzlink: | https://famigo.info/index.php/datenschutzerklaerung/ |
Cookies für Statistiken
Statistik Cookies erfassen Informationen anonym. Diese Informationen helfen uns zu verstehen, wie unsere Besucher unsere Website nutzen.
Cookie Informationen anzeigen
Cookie Informationen verbergen
Google Analytics 4
Google Analytics ist ein Webanalysedienst von Google, der unseren Website-Verkehr nachverfolgt und analysiert. Er ermöglicht Einblicke in das Nutzerverhalten auf unserer Website und unterstützt uns dabei, unsere Zielgruppe besser zu verstehen sowie unsere Online-Aktivitäten zu optimieren.
| Cookiename: | _ga, _ga_* |
| Laufzeit: | 2 Jahre |
| Datenschutzlink: | https://policies.google.com/privacy?hl=de |
| Host: | www.googletagmanager.com, www.google-analytics.com |
Google Tag Manager
Google Tag Manager ist ein Tag-Management-System (TMS), mit dem wir Messcodes und zugehörige Codefragmente auf unserer Website aktualisieren können.
| Anbieter: | |
| Cookiename: | _dc_gtm_* |
| Laufzeit: | 1 Minute |
| Datenschutzlink: | https://policies.google.com/privacy?hl=de |
| Host: | www.googletagmanager.com |
Cookies für Marketing
Marketing Cookies werden von Drittanbietern oder Publishern verwendet, um personalisierte Werbung anzuzeigen. Sie tun dies, indem sie Besucher über Websites hinweg verfolgen.
Cookie Informationen anzeigen
Cookie Informationen verbergen
Meta Pixel
Meta Pixel ist ein von Meta angebotener Webanalysedienst, der unseren Website-Verkehr nachverfolgt und analysiert. Er gibt Aufschluss darüber, wie Nutzer mit unserer Website interagieren, und hilft uns, unser Publikum zu verstehen und unsere Online-Präsenz und die Ausrichtung von Anzeigen zu optimieren.
| Anbieter: | Meta |
| Cookiename: | _fbp, _fbc |
| Laufzeit: | Sitzung, 90 Tage |
| Datenschutzlink: | https://www.facebook.com/privacy/policy/ |
| Host: | connect.facebook.net |
Cookies für externe Inhalte
Inhalte von Videoplattformen und Social Media Plattformen werden standardmäßig blockiert. Wenn Cookies von externen Medien akzeptiert werden, bedarf der Zugriff auf diese Inhalte keiner manuellen Zustimmung mehr.
Cookie Informationen anzeigen
Cookie Informationen verbergen
Youtube
YouTube setzt verschiedene Cookies zur Verwaltung von Benutzereinstellungen und zur Verfolgung von Nutzerinteraktionen. Und wird verwendet, um YouTube-Inhalte freizuschalten.
| Anbieter: | Google Ireland Limited, Gordon House, Barrow Street, Dublin 4, Ireland |
| Cookiename: | YSC; VISITOR_INFO1_LIVE; PREF |
| Laufzeit: | Sitzungsende; 6 Monate; 8 Monate |
| Datenschutzlink: | https://policies.google.com/privacy?hl=de |
| Host: | .youtube.com |
Vimeo
Vimeo setzt verschiedene Cookies zur Verwaltung von Benutzereinstellungen und zur Verfolgung von Nutzerinteraktionen. Sie werden verwendet, um Vimeo-Videoinhalte freizuschalten.
| Anbieter: | Vimeo.com, Inc., 555 West 18th Street, New York, New York 10011, USA |
| Cookiename: | player; vuid |
| Laufzeit: | 1 Jahr (player); 2 Jahre (vuid) |
| Datenschutzlink: | https://vimeo.com/privacy |
| Host: | .vimeo.com |